9 年
手机商铺
入驻年限:9 年
宇玫博
上海 浦东新区
技术服务、耗材、实验室仪器 / 设备、细胞库 / 细胞培养、论文服务、试剂、原辅料包材
生产厂商 经销商 科研机构
公司新闻/正文
614 人阅读发布时间:2024-11-19 18:30
近期,来自长海医院上海胰腺疾病研究所的孔祥毓教授团队在Mol Ther杂志发表了题为“Optimized rAAV8 targeting acinar KLF4 ameliorates fibrosis in chronic pancreatitis via exosomes-enriched let-7s suppressing pancreatic stellate cells activation”的科研论文,IF=12.2。
研究背景:
慢性胰腺炎(chronic pancreatitis,CP)是一种慢性炎症性疾病,其特征是胰腺腺泡细胞(acinar cells, ACs)萎缩、进行性纤维化以内外分泌功能恶化。组织结构的破坏和萎缩以及并发的纤维化,是持续损伤后CP最典型的病理表现之一。目前的研究已经确定活化的胰腺星状细胞(pancreatic stellate cells,PSC)是纤维化的主要影响因素,但其激活的分子机制仍然不清楚,且尚无有效的药物能够治愈CP或限制胰腺纤维化的进展。AC损伤已被确定为胰腺炎的初期症状之一,而受损腺泡细胞(damaged acinar cells,DAC)促进 PSC 激活的机制的研究尚不明确。
研究成果及意义:
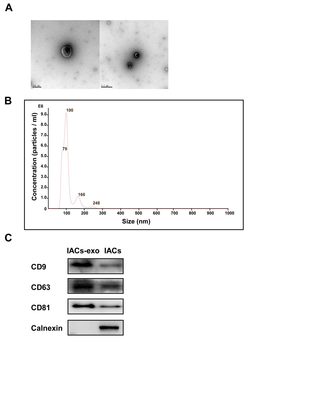
在该研究中作者发现,与完整腺泡细胞(intact acinar cells,IAC)共培养可以抑制PSC活化,而与DAC共培养则呈现相反结果。进一步实验表明,KLF4(Krüppel-like factor 4)在DAC中显著上调,是将AC从PSCs抑制因子转换为PSCs激活因子的关键分子。实验数据表明,IACs的外泌体有助于IACs-CS对PSC的抗激活功能。MiRNome分析显示,let-7家族在IAC衍生的外泌体中显著富集,并部分介导IACs对PSCs的抑制作用。此外,数据显示let-7在外泌体中的富集受KLF4表达水平的影响。机制研究表明,AC中的KLF4上调Lin28A,由此降低AC衍生外泌体中的let-7水平,从而促进PSCs活化。作者还验证了在CP的DAC中用pAAV特异性敲低KLF4后,不仅可以减轻纤维化,还可以减少腺泡-导管化生(acinar-to-ductal metaplasia,ADM)并促进AC再生。最终作者认为,IAC衍生的外泌体可以通过let-7降低PSCs的活化,而DAC中激活的KLF4/Lin28A信号转导会削弱了这一效果。该研究为CP的治疗提供了重要的理论支持,具有很高的临床转化价值。
该研究中使用本公司去外泌体胎牛血清(UR50202)进行ACs的培养实验,在排除外源血清外泌体干扰的情况下保证了细胞的正常生长及外泌体的正常分泌,为接下来的外泌体提取纯化实验提供了高质量的细胞上清。在外泌体提取实验中作者使用本公司细胞上清外泌体提取试剂盒(UR52121)进行外泌体的提取纯化,其结果符合各检测指标要求,满足了客户的下游实验需求。

相关产品链接:
参考文献:Optimized rAAV8 targeting acinar KLF4 ameliorates fibrosis in chronic pancreatitis via exosomes-enriched let-7s suppressing pancreatic stellate cells activation. Mol Ther. 2024 Aug 7;32(8):2624-2640.
获取全文请扫描下方二维码:

扫码关注更多